top of page
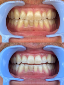
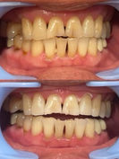
Teeth Whitening
Come relax in our massage chair while you have your teeth professionally whitened, and see results in just one hour! DaVinci's method is a light accelerated system that uses a combination of LED blue light and our natural whitening gel to safely remove years of staining off your teeth.
Ingredients are safe, organic, vegan & safe on all dental work
Safe for pregnant & breastfeeding mothers
Contact us with any questions!
Professional Teeth Whitening - $190
Before & After in just 60 minutes!
bottom of page
_edited.png)












